近日,儿科二区收治了一名比较特殊的患儿。既往曾有右下肺感染,此次再次出现同一部位感染。在当地医院抗感染治疗效果不理想,胸部CT提示感染严重,后转入我院儿科进一步治疗。入院后完善支气管镜检查+tNGS提示支原体耐药,予以更换左氧氟沙星静滴抗感染药,患儿体温正常,但复查胸部CT提示肺部炎症吸收欠佳,局部伴有肺脓肿形成。在申冬冬副主任医师的密切指导下,积极联系肿瘤科等其他科室会诊。完善胸部增强CT及胸穿病理检查,提示肺隔离症,排除恶性肿瘤。待感染控制后,予以外科手术治疗。

2023.12 胸部CT 2025.12胸部CT

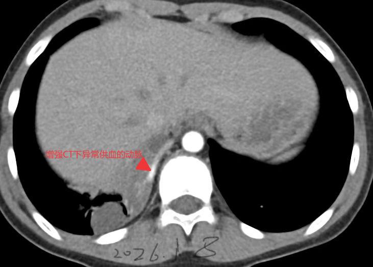
2026.01 胸部增强CT提示异常供血的动脉
肺隔离症(Pulmonary Sequestration)是一种少见的先天性肺发育畸形,发病率约为0.15%—6%,是指部分肺组织与正常支气管树和肺动脉系统无正常连接,由体循环动脉(如胸主动脉、腹主动脉)异常供血,形成独立的、无功能的肺组织团块。这种异常肺组织通常不与正常气道相通,因此容易反复发生感染。临床比较少见,易漏诊误诊。根据病变部位和病理特点,肺隔离症主要分为两种类型:
叶内型:隔离肺组织位于正常肺叶内,有共同的胸膜包裹,约占75%
叶外型:隔离肺组织有独立的胸膜包裹,与正常肺组织完全分离,约占25%
●典型表现
肺隔离症在儿童和青少年中相对多见,但临床表现差异较大。约50%的患者在婴幼儿期出现症状,部分患者可终身无症状,仅在体检时偶然发现。常见症状包括:
1.反复呼吸道感染:咳嗽、咳痰、发热,抗生素治疗效果不佳或反复发作
2.咯血:部分患者可出现痰中带血或咯血
3.呼吸困难、胸痛:感染加重时可出现气促、喘息;累及胸膜时可出现胸痛。
●诊断要点与检查方法
肺隔离症的诊断需要结合影像学检查和血管评估,单纯依靠症状难以确诊。目前主要依靠胸部增强CT来确诊,能够清晰地显示异常供血动脉(多来自胸主动脉或腹主动脉)和引流静脉;明确异常供血动脉的存在是确诊肺隔离症的核心依据。单纯肺内病变而无异常血管,不能诊断为肺隔离症。
●治疗策略
肺隔离症的治疗需根据患者年龄、症状严重程度、病变类型等因素综合决策。
1.手术切除(胸腔镜微创切除/开胸手术)
手术指征:
①有反复感染、咯血等症状。
②病变较大,压迫邻近组织。
2. 保守观察
①无症状的叶内型肺隔离症。
②高龄、手术风险高的患者。
3. 介入治疗
对于临床风险高及家属不愿手术切除的患者,可考虑介入栓塞治疗,阻断异常血供,但远期效果仍需观察。
●预后
手术切除后,症状多能完全缓解,复发罕见,长期预后良好。叶外型肺隔离症切除后基本治愈,叶内型因可能残留微小病灶,需定期随访。
●特别提醒
肺隔离症虽然少见,但因其临床表现与普通肺炎相似,极易被漏诊或误诊。如果出现以下情况,应警惕肺隔离症可能,及时行增强CT或CTA检查,明确有无异常供血血管,是避免误诊的关键:
①反复同一部位“肺炎”,抗生素治疗效果不佳。
②儿童或青少年反复呼吸道感染。
③影像学提示肺内囊性或实性病变,位置固定。(文/程静凯 儿科诊疗中心二病区)
儿科二病区 程静凯