一、什么是3D-ASL?给大脑“测血流”的无创黑科技!
你有没有好奇过,医生是怎么知道大脑某个区域是不是“供血不足”的?现在有一种叫3D-ASL的磁共振检查技术,不用打药、无辐射,就能“看到”大脑里每一处的血流情况,就像给脑血流做一次“无声的直播”。
它的原理很聪明:用自己的血当“显影剂”。
简单来说,它先在血管里“标记”一下流过的血液(就像给红细胞贴个小标签),然后等这些血流进大脑后,再拍一张照。通过对比“标记前”和“标记后”的图像,就能算出每个脑区有多少血在流动,还能得出具体的数值——相当于给大脑做一次“血流地图”。
这项技术不仅能全面扫描整个大脑,还能精准评估脑组织的供血状态,特别适合用来发现早期缺血问题,帮助医生判断病情、制定治疗方案,甚至能评估预后情况。
二、3D-ASL有啥特别?四大优势,安全又高效!
和传统的需要打“对比剂”或有辐射的检查相比,3D-ASL可以说是“既聪明又温柔”。它的四大亮点,让它越来越受医生和患者的欢迎:
✅ 亮点1:一次扫描,全脑“一网打尽”
只需一次检查,就能看清整个大脑的血流分布。无论是短暂性脑缺血(俗称“小中风”),还是已经发生的脑梗,它都能帮你“早发现、早干预”。还能评估:
l大脑有没有“备用路线”(侧支循环)来救急;
l哪些区域是“危在旦夕”的半暗带(可挽救的脑组织);
l中风后血流是否恢复,预后好不好。
l配合MRA(脑血管成像),还能搞清楚是大血管堵了还是小血管出了问题。
✅ 亮点2:不打针、无辐射,人人可用
不需要注射任何造影剂,也没有X光辐射,对以下人群特别友好:
l肾功能不好的人(不怕伤肾);
l对造影剂过敏的人;
l需要多次复查的慢性病患者;
l想做健康筛查的普通人。
✅ 亮点3:快速清晰,结果靠谱
扫描时间短,操作简便,图像清晰稳定。今天查完,明天复查,结果还能对得上,特别适合长期随访。
✅ 亮点4:助力“早预防”,获权威推荐!
国家脑防委在《脑血管病影像规范应用中国指南》中明确推荐:3D-ASL可用于脑血管疾病的早期筛查和预防。
三、建议以下人群定期进行脑卒中筛查:
如果属于以下任何一类情况,建议定期进行脑血管健康检查(包括3D-ASL):
1、年长者:年龄≥50岁,尤其65岁以上风险显著增加。
2、心脏病患者:如房颤、冠心病等患者。
3、有家族史者:家族中有脑血管病史的人群。
4、已有血管病变者:如患有颈动脉斑块或下肢血栓。
5、慢性病患者:高血压、高脂血症、糖尿病患者。
6、不良生活习惯者:长期吸烟、饮酒、熬夜或精神压力大者。
小贴士:中风不是“突然发生”,而是长期风险积累的结果。早筛查、早干预,才能真正防患于未然!
四、哪些人不适合做3D-ASL?
虽然3D-ASL非常安全,但因为是磁共振检查,仍有一些禁忌情况需要注意:
1、带有心脏起搏器、胰岛素泵等患者;
2、有眼内金属异物、内耳植入、金属假体者、金属假肢、金属关节、体内铁磁性异物者;
3、妊娠三个月内的早期妊娠者;
4、重度高热患者。
✅温馨提示:检查前需去掉全部金属物品(如假牙、耳钉、项链等),
还请如实告知医生你的病史和体内是否有金属物,确保检查安全。
五、案例展示—ASL检查优势
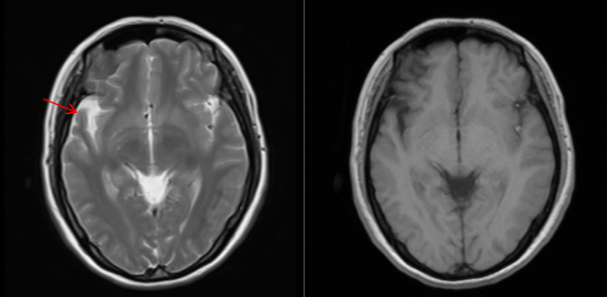
患者男,45岁,以头晕头痛为主诉就诊

图1右侧颞叶萎缩,外侧裂较对侧增宽(红色箭头)

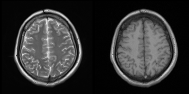
图2双侧额顶叶大小、形态及信号未见明显异常

图3右侧大脑中动脉主干显示纤细、断续,远端分支较对侧明显减少(红色箭头)

图4 PLD=1.5 右侧颞叶血流灌注较对侧减低(红色长箭);PLD=2.5 右侧颞叶血流灌注仍稍减低(红色短箭),表明患者右侧颞叶供血减少,侧枝代偿能力不足,导致右侧颞叶萎缩、外侧裂增宽的病因

图5 PLD=1.5 右侧额顶叶血流灌注减低(红色长箭);PLD=2.5 右侧额顶叶血流灌注显示良好(红色短箭),表明患者右侧额顶叶供血减少,但侧枝循环代偿较好,这是患者右侧额顶叶没有明显异常的原因(文/岳征 河南省中医院磁共振室)
(编辑/王伟琰 审核/李昕)