近期,流感病毒、鼻病毒等呼吸道病毒持续高发,医院儿科门诊量激增,医患双方均面临巨大挑战。但在全力应对病毒感染的同时,支原体/衣原体感染这一 “隐形威胁” 同样需要高度警惕,尤其对于免疫力相对较弱的学龄期儿童,感染后若未能及时干预,可能进展为重症,引发严重并发症。
典型案例:7 岁患儿重症感染,中西医结合化险为夷
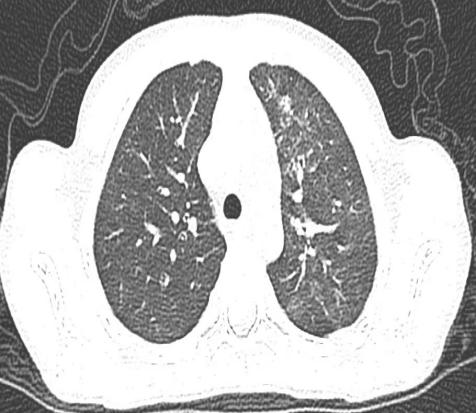
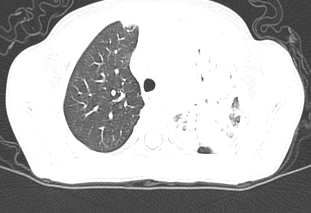
儿科二区近期收治了1名 7 岁的患儿,因 “反复发热伴咳嗽 4 天” 前往申冬冬副主任医师门诊就诊。初步完善胸部彩超后,提示患儿存在肺实变,病情较重,遂紧急收治入院。入院后,乔淑楠主治医师结合患儿症状、体征及彩超结果,判断肺部感染情况复杂,建议进一步完善胸部 CT 及呼吸道病原学检查。检查结果证实:患儿左肺上叶炎症伴部分实变,且存在肺炎支原体阳性,凝血功能异常;更危险的是,患儿左上肺出现大面积肺不张。

“这类重症病例若延误治疗,可能快速进展为呼吸衰竭、胸腔积液、坏死性肺炎、肺栓塞等急性并发症,远期还可能遗留闭塞性支气管炎,严重影响孩子的生长发育和肺功能。” 乔淑楠主治医师向家属介绍到。针对患儿 “重症肺炎支原体肺炎合并肺不张” 的复杂病情,儿科全科医护人员展开紧急讨论,为解除痰栓堵塞、改善通气,建议积极实施支气管镜检查及介入治疗。镜下可见患儿左侧支气管黏膜充血明显,左肺上叶尖后段及舌支被大量痰栓堵塞,经反复灌洗后,成功清除塑形性黏液栓,气道通气显著改善,留取的标本送检提示链球菌阳性。根据结果制定了 “西医精准干预 + 中医辅助康复” 的中西医结合诊疗方案:
1.抗感染治疗:考虑到国内支原体对大环内酯类药物耐药率较高,且合并链球菌感染,为避免病情恶化,与家属充分沟通后,果断采用左氧氟沙星联合利奈唑胺静滴抗感染,同时使用低分子肝素抗凝,预防肺栓塞风险;甲泼尼龙减轻肺部炎症反应,遏制病情进展;
2.中医特色治疗:遵循 “既病防变、未病先防” 的中医理念,辩证施护 —— 穴位贴敷以宣肺降气、止咳化痰;中药烫熨以理肺通络、促进血液循环;火龙罐以温肺化痰,助力痰液排出与炎症吸收,预防气道闭塞;
3.康复训练:鼓励患儿勤练习肺康复操、下床活动、多饮水,促进肺功能恢复。

镜下塑形性痰栓 中药烫熨治疗

火龙罐 治疗后复查胸部CT
经过全科医护人员的精心治疗与护理,患儿病情逐步好转,复查胸部 CT 显示左肺上叶炎症明显吸收,肺不张情况得到显著改善,目前已顺利康复出院,赢得了家属的高度赞誉。
科室优势:经验丰富,打造中西医结合诊疗体系
在诊疗中心朱珊主任的带领下,儿科近年来在应对支原体、衣原体感染流行中,积累了大量临床经验,形成了一套成熟、高效的中西医结合诊疗方案。针对重症病例,科室坚持 “干预关口前移” 的原则,在精准判断病情的基础上,及时调整治疗方案,有效降低了并发症和后遗症的发生率;同时充分发挥中医药在肺炎诊治与康复中的独特优势,通过穴位贴敷、中药烫熨、火龙罐等特色疗法,帮助患儿更快恢复肺功能,缩短病程。
重要提醒:警惕感染信号,及时规范就医
儿科专家提醒广大家长:支原体、衣原体感染的早期症状与普通感冒相似,多表现为发热、咳嗽,且咳嗽多为刺激性干咳,夜间加重,部分患儿可能出现咳嗽持续不缓解、发热反复等情况。
若孩子出现以下情况,需及时就医:
1.发热持续超过 3 天,伴咳嗽加重;
2.咳嗽剧烈影响睡眠、进食;
3.出现呼吸急促、喘息、精神萎靡等症状;
4.有支原体、衣原体感染接触史。
在呼吸道疾病高发季,家长除了做好流感、新冠等病毒的防护外,也需关注支原体、衣原体感染的风险,避免盲目用药,及时带孩子到正规医院就诊,做到早发现、早诊断、早治疗,守护孩子的呼吸健康。(文/程静凯 儿科二病区)