一、半月板:膝盖的“避震器”
我们的膝关节每天都在承受体重的压力,而半月板正是膝盖里的 “避震垫”。
它位于股骨与胫骨之间,形似两弯月牙,能吸收震荡、稳定关节。如果半月板破裂,就像汽车的减震器断裂——关节活动会出现疼痛、卡顿、甚至“打软腿”。
二、损伤的“幕后黑手”
半月板损伤分为急性外伤型和退变型:
·年轻人:多因运动损伤,如打球、扭伤、蹲起过猛;
·中老年人:多为长期磨损、退行性变化。
典型症状包括:
·膝盖活动受限、上下楼疼痛;
·关节“咔嗒”声或“锁死感”;
·膝盖肿胀、反复积液。
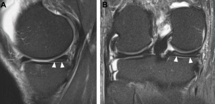
三、MRI:揭露裂痕的“显微镜”
X线只能看见骨头,而MRI能清晰显示半月板、韧带、软骨和关节液,是诊断半月板损伤的首选检查。
MRI可评估:
·撕裂类型:纵裂、水平裂、桶柄样撕裂等;
·损伤部位:内侧或外侧半月板,前角、中段或后角;
·合并病变:ACL/PCL损伤、关节积液或骨挫伤。

尤其在3T磁共振高分辨序列下,医生能像读“地图”一样精确定位裂口,为手术修复或保守治疗提供方向。
四、治疗与预防:保护膝盖的“月亮”
��轻度撕裂:休息、康复训练、理疗可恢复;
��严重撕裂或卡顿明显:关节镜修补或部分切除可恢复关节功能;
��术后MRI:可监测半月板修复与关节恢复情况。
保养贴士:
·运动前热身、避免剧烈扭转;
·体重管理,减少膝关节负担;
·长时间下蹲、登山后注意拉伸;
·定期MRI复查,防止早期关节退变。
半月板MRI就像膝盖的“体检镜”,能在疼痛变成伤残前,发现那道微小裂痕,守护您的行动自由。(文/刘亚南 河南省中医院磁共振室)