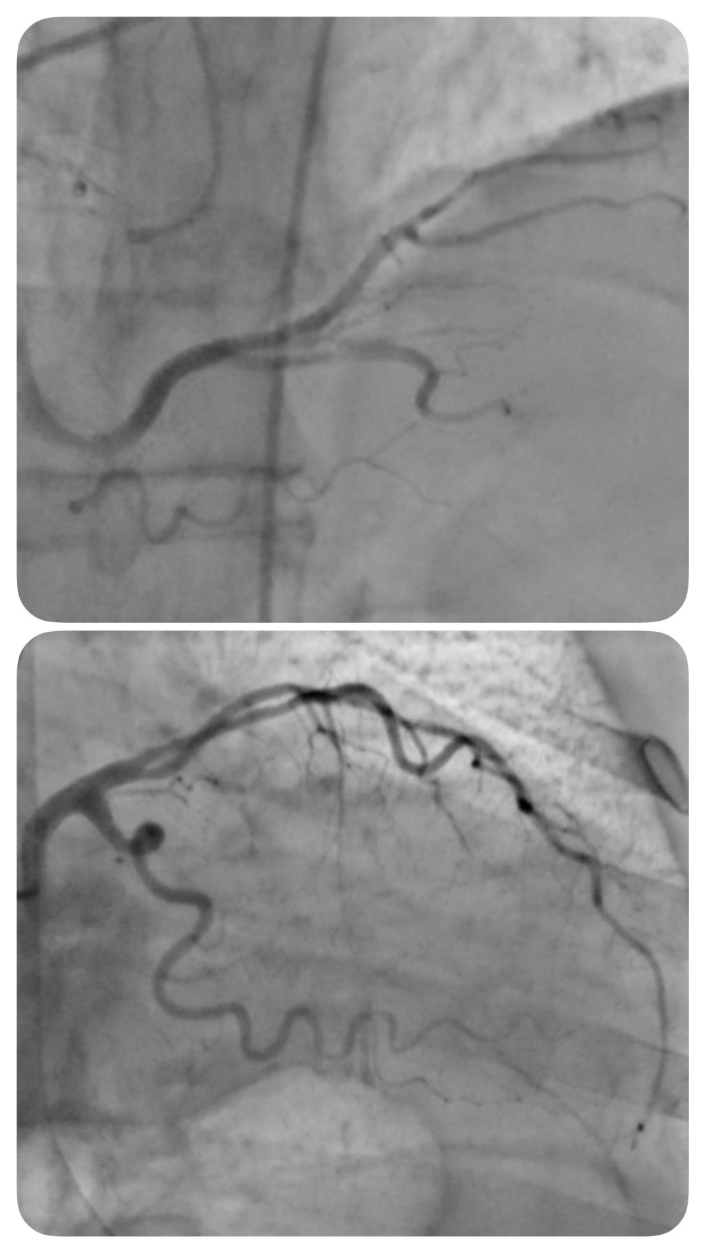
“卒中救治,时间就是大脑!”对脑血管病患者而言,及时精准的诊断是赢得生机的第一步。近日,河南省中医院五龙口院区脑病科传来好消息:在东风路院本部脑病科程率芳主任的术前指导、姬令山副主任现场操作指导下,由脑病科介入团队成员徐晓玉副主任医师成功完成院区首例脑血管造影术,同时联合心病科介入团队完成冠脉造影检查,标志着五龙口院区脑病科正式开启脑血管病规范化介入诊疗新篇章,周边居民在家门口就能享受到三甲医院高水平的脑血管病诊疗服务!


同质化管理,让优质医疗资源“下沉”到家门口
河南省中医院五龙口院区自2025年9月17日开诊以来,始终以“让周边群众在家门口看好病”为目标,根据医院安排脑病科于2025年10月22日正式开放病区,全面投入住院收治工作。依托河南省中医院脑病诊疗中心——这个国家中医药管理局重点专科、国家中医优势专科、河南省中医高水平专科、国家三级医院卒中中心做强大后盾,五龙口院区脑病科与东风路院本部实现了同质化、一体化高水平管理,从诊疗规范、专家团队到技术能力,全面与院本部接轨。我院脑病介入诊疗团队由脑病诊疗中心主任、河南省中医(中西医结合)介入质控中心主任委员刘志华组建发展,秉持认真谨慎、精益求精的工作作风,行成规范的术前评估、讨论、手术操作、术后管理流程,确保介入诊疗手术规范、高效、安全。

此次首例脑血管造影的顺利开展,正是科室同质化建设的重要成果。术前,程率芳主任带领团队完善术前讨论、制定周密方案;术中,姬令山副主任现场指导,团队配合默契,精准完成操作,整个过程顺利流畅,为患者后续诊疗提供了清晰可靠的诊断依据。同时,科室还响应“泛血管病”诊疗理念,联合心病科完成了脑血管-冠脉联合造影,实现了心脑血管疾病的同步评估,为合并心脑血管共病的患者提供了一站式诊疗服务。


不止于造影,全方位守护脑血管健康
此次首例脑血管造影的开展,只是五龙口院区脑病科规范化诊疗的一个缩影。科室依托院本部成熟的神经介入团队和卒中诊疗体系,常态化开展脑血管造影术、介入取栓术、血管内支架成形术、脑动脉瘤栓塞术等多项前沿技术,同时搭建了7×24小时卒中绿色通道,脑病科专科医师全天候值班,卒中急救电话15378761120随时畅通,为急性脑梗死、脑出血、蛛网膜下腔出血等危急重症患者争分夺秒开展积极有效的规范化救治,为守护人民群众的脑健康保驾护航!(文/郑伟锋 徐晓玉)